Bunions are complex deformities that can be very painful. Best Foot Forward is pleased to offer a new, patented treatment for bunion correction-Lapiplasty® 3D Bunion Correction.
What is Lapiplasty® 3D Bunion Correction?
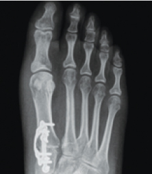
Lapiplasty® 3D Bunion Correction is an advanced surgical procedure that corrects a bunion by rotating the entire deviated bone back into its normal anatomical position. This is done using specially-designed instrumentation, naturally straightening your toe and removing the “bump” and associated pain. Innovative plating technology is used to permanently secure the unstable joint. Most patients are able to walk within days of surgery. No cast is required; allowing patients to get back to the shoe wear of their choice and activities quickly.

Lapiplasty® Patented Titanium
The Lapiplasty® Procedure utilizes two low-profile (petite), anatomically-shaped titanium plates to permanently secure the unstable foundation of your corrected bunion. This provides buttressing on multiple planes and allows you to walk within days of surgery. Think of this in terms of how a basketball player might hold a basketball. When a player tightly grips the ball with both hands, the ball is held more securely than if only one hand is used.

What Should I Expect In Terms Of Recovery?
The patented titanium plating technology used with the Lapiplasty® Procedure enables patients to bear weight on their foot early. The ability to do so can dramatically improve your recovery process, allowing you to walk up to 6-8 weeks earlier than with the more traditional Lapidus approach (which was previously the only option for addressing the unstable joint).
Being able to walk in a surgical boot, as opposed to being completely non-weight bearing (in a cast with scooter or crutches) for 6-8 weeks, means that you will be getting back to a better quality of life faster; may return to most occupations more quickly; and will be less inconvenienced by bunion surgery.
Frequently Asked Questions
Below are some questions patients commonly ask and their respective answers:
How long does it take to recover from a Lapiplasty® Procedure?
Patients are typically walking within days of surgery. Patients can return to most occupations within days to a couple of weeks, wearing a surgical boot. Within six weeks, you can expect to be walking in comfortable shoes such as tennis shoes, however you should not plan on any high-impact activities for 3-4 months. Short shopping trips and leisurely strolls are examples of the types of activities that should be fine at this point. Around the 4-month mark post-op, you should be able to return to most activities and most shoe wear.
Can I wear fashionable shoes again?
The Lapiplasty® Procedure allows most patients to return to their desired shoes. Of course, some fashionable shoes can be painful (even with a normal foot!), so results can vary from person to person and shoe to shoe.
Can I play sports after the Lapiplasty® Procedure?
Yes, there are no permanent activity limitations after the Lapiplasty® Procedure. Most patients are able to return to most activities after the bones have completely healed at approximately 4 months.
Can the Lapiplasty® Procedure be performed on someone who has previously had traditional surgery?
Yes, the Lapiplasty® Procedure is an option that can be utilized by your doctor when a revision is required. Even if previously treated, patients can experience the same benefits from Lapiplasty® - with a permanently secured foundational joint this time around.
I’ve heard the term “reproducible” used when describing the Lapiplasty® Procedure. What does that mean?
“Reproducible” means that a procedure is easily repeatable with expected results. The Lapiplasty® Procedure utilizes precision, patented instrumentation designed to take the guesswork and “eyeballing” out of bunion surgery; helping ensure your surgeon can get reliable results over and over.
Can the Lapiplasty® Procedure be performed as an outpatient procedure & how long does it last?
Yes, Lapiplasty® surgeries are performed as outpatient procedures. Typically, the surgery will last just under an hour. If your doctor is performing any additional procedures at the same time, the surgery may take longer.
The Lapiplasty Procedure patient education brochure
Lapiplasty® 3D Bunion Correction Brochure